Thursday, December 2, 2021

+21 Home Test For Coccidia 2022

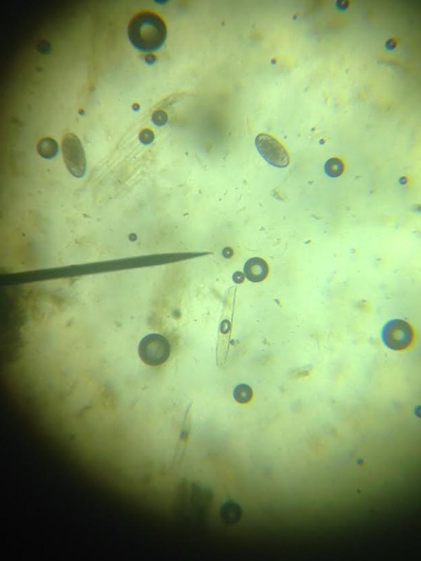
+21 Home Test For Coccidia 2022. Bladder stones (struvite) in dogs. A coccidia infection is diagnosed through a fecal test.

CORID Prevention and Treatment of Coccidiosis
CORID Prevention and Treatment of Coccidiosis from www.corid.com

These will test for coccidia as well as other parasites. Because coccidia are found most often in. Coccidial infections can be prevented by removing your dog’s feces regularly from your yard or other areas where the dog goes to the bathroom.

With The Simple And Convenient Mysimplepetlab Testing Solution From Home (Mysimplepetlab Routine Dog Stool Test), You Can Directly Access This Same Professional Reference Lab Testing.


Bladder stones (struvite) in dogs. Severe signs of coccidia in puppies and dogs include: Blastomycosis is a systemic fungal infection affecting dogs and cats.

Coccidiosis In Dogs Is Commonly Confused With Intestinal Worms Because The Symptoms Are So Similar.


Diagnosing coccidia in cats if your cat is showing any signs of coccidiosis, your veterinarian will check your cat's feces under the microscope to look for coccidia oocysts. These will test for coccidia as well as other parasites. A coccidia infection is diagnosed through a fecal test.

Coccidia Are Much Tinier Than The Eggs Of Intestinal Worms So A Fecal (Stool) Sample Needs To Be Viewed Under A Microscope For Diagnosis.


This includes a fecal flotation test that allows your. If you do not follow the manufacturer’s. Bladder stones (oxalate) in dogs.

Black Fly Bites On Dogs.


This assay detects but does not differentiate many coccidia species. In patients where clinical symptoms are present, there are diagnostic tests available. The stool sample can be refrigerated overnight in a sealed container until you are able to give it to your veterinarian, who will have.

However, Some Dogs With Coccidia Can Be Asymptomatic And Not.


Coccidial infections can be prevented by removing your dog’s feces regularly from your yard or other areas where the dog goes to the bathroom. Typically, coccidia can be diagnosed by a combination of history from you, a physical exam of your cat and a microscopic fecal examination. Intestinal parasite and ova detection by centrifugal floatation roundworms,.

No comments:

Post a Comment

The 30 Best Blonde Hair Color Ideas for Every Skin Tone Photos

Table Of Content Darkest Dimensional Brown Trendy Hair Color Ideas for Brown Eyes: Best Hairstyles & Hair Shades for Hazel-Eyed Women (S...